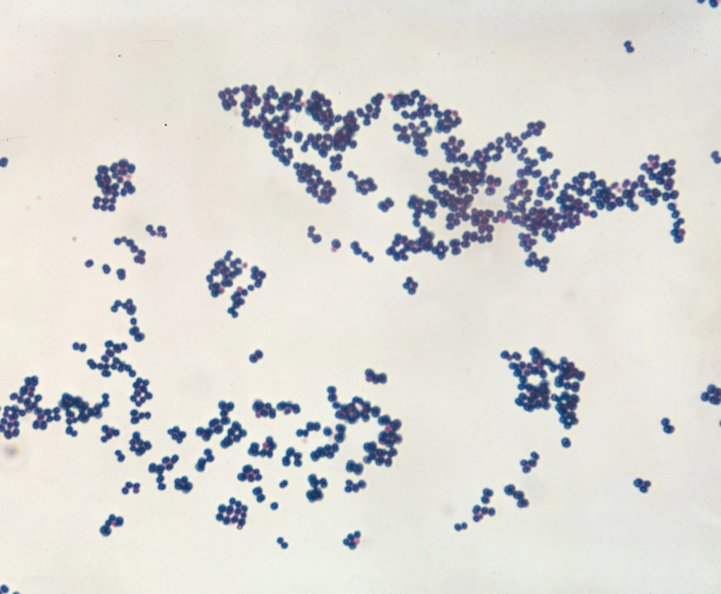
Stafilokoku është një grup bakteresh që jetojnë zakonisht në lëkurë dhe në mukozë te njerëzit. Shumica e tyre nuk shkaktojnë probleme, por disa mund të bëhen patogjenë dhe të shkaktojnë infeksione, veçanërisht nëse lëkura dëmtohet ose sistemi imunitar është i dobësuar. Lloji më i rëndësishëm është stafilokoku i artë, i cili mund të shkaktojë infeksione të lëkurës, infeksione të plagëve, helmime ushqimi dhe në raste më të rënda infeksione në gjak ose në organet e brendshme. Një formë e tij e rezistent ndaj antibiotikëve, e njohur si MRSA, paraqet sfidë të madhe në spitale.
Infeksionet nga stafilokoku përhapen përmes kontaktit të drejtpërdrejtë të lëkurës ose prej sipërfaqeve të kontaminuara. Simptomat variojnë nga skuqje dhe qelb deri te ethe dhe gjendje e rënduar në infeksione sistemike. Diagnoza vendoset përmes kulturës bakteriale dhe antibiogramit, ndërsa trajtimi bazohet në antibiotikë të zgjedhur sipas ndjeshmërisë së bakterit. Parandalimi luan rol kyç dhe përfshin higjienë të rregullt të duarve, trajtimin e plagëve dhe përdorimin e kujdesshëm të antibiotikëve për të shmangur rezistencën.



